BiDevine Design 4 - 4 - 06 Female Sire: Bidesign  
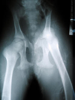
At the time of Diva's birth, she presented in a cushed position. (Her front legs where folded back to her chest and her rear legs where folded forward to her stomach) Once I knew Eve had been in labor for at least 1 hour and a second call to my vet showed he was still an hour away, I went in and felt Diva in the above described position. I followed her head down her neck, down her shoulder to each front leg which I pulled forward and out. Her head was then delivered and she started breathing but delivery stopped at her shoulders. I reached back in, felt her back feet at her sternum and pushed them back as far as I could. This ended up causing her rear legs to splay and lock against Eve's pelvis. Diva then stopped breathing so I had no choice but to pull her out. I felt two "pops" then Diva slid right out but her rear legs delivered folded backwards so that the insides of her thighs where now position to the outside and the outsides of her legs where now where her insides should have been. To understand this, follow the directions below. (Hold out your arms in front of you pointing at the computer screen with your palms facing each other, then swing your arms out and away from your body to each side as far as you can and imagine them continuing on to fold back behind you) Yea, OUCH! I had dislocated both the Right and the Left femoral heads from each asatabulum. (Pulled the balls out of the sockets) But that did not really matter since she was not breathing and I could not feel a heartbeat. I put her entire nose and mouth into my mouth and blew till I saw her chest expand. Then I thumped her chest with my fist. I kept breathing into her, waiting for her to take a breath on her own before each breath I gave her till finally she took one on her own. I rubbed her vigorously as she came back around. Once I knew she was back and going to stay, I turned my attention to her rear legs. I was able to put one back in but the other as you can see above was to severe for me to attempt. When I held Diva up by her sternum (chest) and gently lowered her to her feet, she could stand on her front legs but her rear legs would simply slide out to the sides, one going left, one going right resulting in her to "doing a spit". My vet, Dr. Miller arrived and took her to Catoosa Animal Medical Center where Dr. Marty Rodgers put Diva under with Iso and fixed her. The ligaments and tendons that where not torn, where stretched out so badly that Diva could not stand and her prognosis was poor. After consulting with a few Universities who could not offer any ideas as to how to bandage her, I came up with a solution of my own. Swim Diapers.
The diapers did exactly what I needed them to do. They held her rear legs together to kept her from doing the "splits" yet still allowed her to mover her legs forward and back in the correct walking and trecking motion. I taped a sling on her so I could help her get up and down and I supported her weight on short walks to insure the proper development of her muscles. Diva and Eve stayed in my house with me "sleeping" on the couch next to Diva for 2 weeks. Diva was never left unattended because one slip could ruin her chances of ever walking on her own. I was banking on the fact that crias are born limp and limber. That Diva could compensate for the tendons and ligaments that had been torn during her birth by over firming the ones that had been abnormally stretched, as her body went through it's normal process of firming up after birth. It was only by divine design that after 2 weeks of Diva's birth, she could get up and down by herself, walk without support and had proved that she was tightening up because she was able to keep her legs together on her own without the diapers. Hence her name, BiDevine Design. Diva wore the diapers for a total of 2 months and was very restricted on her activities. She stayed with Eve in a 12 x12 stall with 5 minutes twice a day of "free time" in the 30 x 60 barn hallway. She quickly got the nick name of "Speed Racer" since she would use that time wisely and race up and down the hallway nonstop till I caught her and put her "back in jail". Her free time was increased by 5 minutes each time she showed signs of becoming stronger. I had to be careful and pray that she did not have any accidents while playing for she was getting past the point where her cria body could naturally compensate from a birthing trauma. Today, there is not even a hitch in her step. She trecks as smooth as the best of them and we can not wait to get her into the show ring. We do however, plan to have her OFA'd at 2 years of age before breeding her. I know her problem was due to injury but I do not want any question as to her conformation or her ability to safely bear her own crias. 

KRS Phi~Anaan  
 
|